欢迎您访问福建畜牧兽医网
地 址:福州市鼓楼区五四路73号国贸广场1408室
电 话:0591-87856764
欧美等发达国家每头母猪每年提供断奶仔猪数超过25头,而国内到去年到PSY平均水平才为19头,国内猪只品种其实与国外差别不大,那究竟是什么原因导致国内母猪生产性能上不来呢?据笔者初步调查研究,问题可能出在我们对母猪体况评定方法上。
国内现行的母猪体况评定方法是由评分员根据经验目测母猪体况并打分,但是体况评分并不能准确反映猪群总体肥度的背膘水平,不同的评分员会对同一头母猪的体况打出不同的分数,即使是同一评分员在不同时间也可能对同一头母猪打出不同的分数。据统计,无论一个猪群中总体母猪群的体况如何,评分往往在1.5 - 4.0的范围内,特别集中在2-3.5分之间,这说明使用现有的目测打分存在较大的人为误差。对根据体况评分确定饲喂水平的做法,更多的是依靠经验,并无准确依据。
国内对母猪的饲喂量往往就是根据存在较大误差的体况评分来确定的。体况评定结果不同,母猪的给料量自然就不同。生产上往往妊娠母猪供料量的微小差异会导致母猪体增重和背膘水平的巨大差异,这是国内母猪生产性能低下的一个很重要的原因。
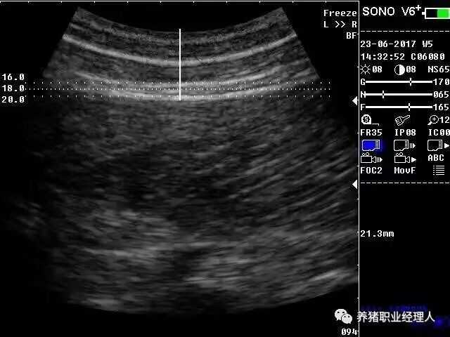
那究竟有没有一个科学的依据来判定母猪体况并据之确定母猪的饲喂水平呢?有,那就是母猪P2点背膘。P2点背膘是国际养猪业通用的一个基础数据,是指猪最后一根肋骨外切线距背中线6.5厘米处的背膘厚度。通过对母猪的P2点背膘厚度进行测定,以数字化的方法来对母猪体况进行测定可以减少不必要的误差。今天重点谈一谈母猪背膘测定方面的内容。
一、背膘厚度
正常情况下,母猪背部有2-3层脂肪,在生长前期,母猪背部的脂肪一般储存在靠外侧的2层,只有在生长后期才会出现第三层脂肪的沉淀。背膘厚度正常范围一般在10-25毫米,背膘越厚表示母猪越肥,背膘越薄表示母猪越瘦。背膘厚度最佳值为16-22毫米,过厚和过薄都会导致母猪繁殖性能下降。
因为品种、饲养管理、饲料营养、地域差异,母猪的背膘厚度标准会有一定区别,母猪各阶段背膘厚度参考见下表。
1、后备母猪各阶段背膘
2、经产母猪各阶段背膘
3、母猪背膘的脂肪层示意图
4、背膘仪的显示说明

二、背膘测定的位置
测定背膘部位为P2点位置,P2点位于最后一根肋骨的外切横截面,距离背中线6.5厘米处,背中线两边对称取点都为P2点。确定P2点较便捷的方法是用食指沿着腹部侧面按压并向前移动找到最后一根肋骨,同时用大拇指指向母猪脊椎背中线,取6.5厘米处的位置即为P2点。
P2点标准的位置

三、背膘测定的时间
背膘测定的时间与母猪的体况评分相同,通常在断奶当天、38天、100天、上产床当天进行测量;后备母猪还可以在150日龄进行一次测量,评估后备母猪的背膘生长情况。背膘测定时间的设定原则是将背膘监控与母猪的饲养管理相结合,通过调整营养及饲喂量及时调整母猪背膘以达到理想的范围。
四、背膘测定与体况评分之间的对应关系
背膘测定与母猪的体况评分,都是对母猪脂肪覆盖程度的评估方法,目的都是为了保证母猪在整个繁殖周期中拥有良好的体况,背膘测定与体况评分是相互补充和对应的一项管理技术,相辅相成。背膘测定可以显示数值,更为直观,是定量评判;体况评分是结合评分员的“触觉+视觉”来判断母猪的体况,是定性评判。在实际生产中,可将两种方法相结合起来运用,可以大大方便我们在实际生产过程中的管理。
1、背膘测定与体况评分的关系
2、体况评分与背膘厚度
五、背膘测定的生产操作步骤
1、核对好母猪信息
测定母猪背膘之前,首先要查看母猪的配种卡,核对母猪耳号和配种日期,了解母猪目前的妊娠时间。在母猪妊娠阶段,一般在配种后38天和100天对母猪进行背膘测定。在实际测量过程中,为了保证P2点位置的准确,最好是由同一个人进行操作。
2、找准背膘测量P2点
首先用手沿着母猪腹侧从后面前移动找到母猪最后一根肋骨,注意如果母猪偏肥手指需要稍微用力按压皮肤才能更好摸到肋骨。
找到最后一根肋骨后,再用大拇指按住距离母猪脊椎背中线6.5厘米处的位置即为P2点,此时可以使用记号笔对P2点进行标记。
3、剃掉P2点处的猪毛
为了避免母猪毛发对测量结果的干扰,使背膘仪探头与母猪皮肤更好的接触,需要剃掉测量点上的猪毛。可以使用剪刀或者剃毛器,将P2点的猪毛剃除干净,并保持P2点位置的清洁。
4、在P2点涂抹清油
在母猪背部P2点处涂上清油,最好在油侵入皮肤一两分钟后开始测量,有利于软化皮肤。
5、测量读数
打开测定仪开关,把探头轻轻放在P2点上,慢慢转动探头以挤出探头与皮肤之间的空气,读取显示屏上的数字,并进行记录。注意,探头和测量表面必须保持垂直,否则将会导致测量数据错误,左右两侧的P2点都进行测量,取平均值。
6、准确记录
准确记录测量的背膘数值,用醒目的记号标记背膘不合格的母猪,以便饲养员及时调整母猪饲喂量,尽快将母猪的体况及时恢复到正常范围;如果背膘不合格母猪头数超过10%,需要对母猪群近期的饲喂方法及饲料营养进行整体分析和及时调整。
六、生产上背膘测定数值的应用
根据P2点背膘实际厚度确定母猪的饲喂管理方案,对于背膘厚度达不到标准的需要加强营养。
1.根据P2点背膘厚度决定后备期饲养管理方案
后备母猪150日龄,体重达100千克,P2背膘厚应为12-14mm,如果不在这个范围,可以通过营养调控来解决(提高能量浓度,饲喂后备母猪脂肪强化日粮,能量提高200kcal/kg);当背膘厚度超标可以降低饲料配方的能量浓度。
2.根据P2点背膘厚度决定妊娠期饲养管理方案
母猪妊娠阶段基本可以分为0-7天、8-37天、38-99天、100-110天、111-分娩等五个阶段。妊娠母猪怀孕测定P2点背膘时间点分别是配种、38天、100天、110天等四个时间点。
3.根据P2点背膘厚度决定空怀期饲养管理方案
母猪离乳期时若P2〈14mm,应自由采食妊娠母猪料557并添加合成孕酮类药物(烯丙孕素,每天按15-20mg的剂量饲喂),当P2背膘达到16mm后,不再添加药物;若P2>14mm则自由采食妊娠母猪料557。
配种时若14mm
母猪妊娠110天时若P2<20mm,不减料;若P2>20mm,按正常饲喂量的1/2进行饲喂。
七、母猪背膘测定过程中的常见问题
1、母猪背膘过薄或者过厚会有什么影响?
A、后备母猪150日龄,体重达到100千克,P2点背膘厚应为11-12毫米,背膘厚度低于10毫米和高于14毫米的后备母猪初期期都会延迟。
B、分娩前经产母猪背膘维持在20-22毫米比较合适,如果分娩前背膘厚度大于22毫米,会对产仔和泌乳有不利影响。
C、母猪断奶时背膘厚度为16-18毫米,有利于断奶后尽早发情和增加排卵数;如果母猪哺乳期失重过多,母猪背膘降到15毫米以下会导致断奶后母猪发情延迟,利用年限缩短。
2、断奶后母猪背膘会如何变化?
在母猪哺乳阶段,母猪需要动用自身脂肪储备用于分泌乳汁提供与仔猪,导致断奶后母猪背膘厚度大大降低,正常情况下母猪断奶后背膘厚度会降低3-5毫米,如果高于5毫米,母猪断奶后就会出现乏情等问题。
检测背膘位置
3、测量背膘时涂抹清油有什么用处?
在使用背膘仪进行测定时,要在测试部位涂上适量的清油,用于使探头与皮肤耦合完好,因为背膘仪探头发出的超声波无法穿透空气,要保证探头与皮肤垂直,同时挤走中间的气泡。
4、老母猪测量背膘需要注意什么?
由于胎龄大的母猪会存在坚硬的老化皮肤,需要额外地用力才能将探头和皮肤保持良好接触。可以剃掉测量点上的猪毛,然后用热水润湿皮肤,再上清油使之侵入皮肤,等待一两分钟后再开始测量;而年轻母猪的皮肤较软,可以直接测量。
5、为什么建议场内测膘由同一个人操作?
在同一个猪场,为了保证背膘测定的结果更为准确和一致,每次最好都由同一个人,使用同一台设备,在同一个位置进行背膘测定操作,这样可以得到更为准确的测定结果。专人进行背膘测定,也可以更好地对猪群的饲喂情况进行跟踪。(资料来源:养猪职业经理人(ID:YZZYJLR2016))